กระดูกสะโพกหักในผู้สูงอายุ อันตรายแค่ไหน? หายแล้วจะเดินได้เหมือนเดิมหรือไม่?

“กระดูกสะโพกหักในผู้สูงอายุ อันตรายแค่ไหน? หายแล้วจะเดินได้เหมือนเดิมหรือไม่?” 🚶‍♂️💔

กระดูกสะโพกหัก… อุบัติเหตุที่เปลี่ยนชีวิตผู้สูงอายุ!

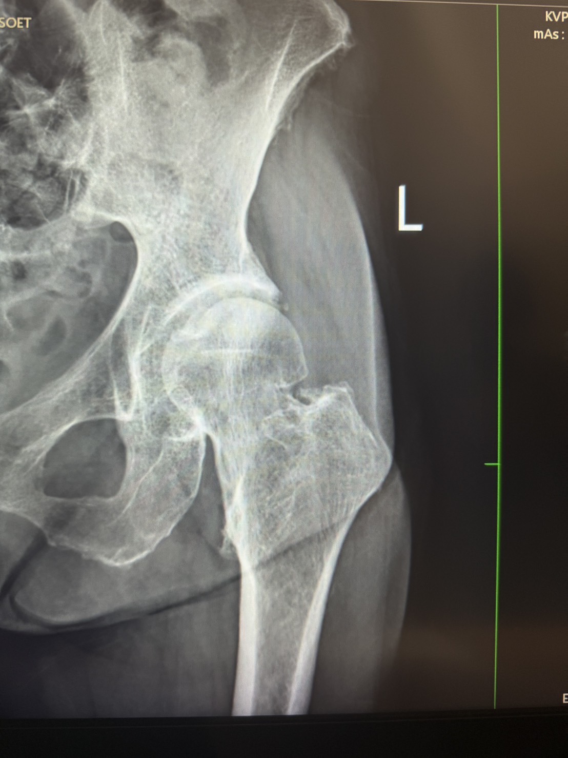
หลายคนอาจคิดว่า “หกล้มนิดเดียว ไม่น่าถึงกับกระดูกหัก” แต่สำหรับผู้สูงอายุที่มีกระดูกพรุน แม้จะล้มเพียงเล็กน้อยก็อาจทำให้ กระดูกสะโพกหัก (Hip Fracture) ได้ และนี่ไม่ใช่แค่เรื่องเล็ก ๆ เพราะอาจทำให้ เดินไม่ได้ เจ็บปวดเรื้อรัง และเสี่ยงต่อภาวะแทรกซ้อนร้ายแรง 😨

เมื่อกระดูกสะโพกหัก… จะเดินได้เหมือนเดิมหรือไม่?

คำถามนี้คงเป็นเรื่องที่ลูกหลานกังวลใจที่สุด คำตอบคือ “มีโอกาสกลับมาเดินได้เกือบปกติ แต่ต้องรักษาอย่างถูกต้องและทำกายภาพบำบัด”

💉 1. การรักษาที่เหมาะสมเป็นกุญแจสำคัญ

• หากกระดูกหักไม่มาก อาจใช้วิธี ยึดตรึงกระดูก (Internal Fixation) ด้วยสกรูหรือเพลท

• แต่ถ้ากระดูกหักรุนแรง โดยเฉพาะในผู้สูงอายุที่มีภาวะกระดูกพรุนมาก อาจต้อง เปลี่ยนข้อสะโพกบางส่วน (Hemiarthroplasty) หรือเปลี่ยนทั้งหมด (Total Hip Replacement - THR) เพื่อให้เดินได้ดีขึ้น

🦵 2. กายภาพบำบัดหลังผ่าตัด ช่วยให้กลับมาเดินไวขึ้น

• เริ่มฝึกเดินเร็วที่สุด ภายใน 1-2 วันหลังผ่าตัด เพื่อลดภาวะแทรกซ้อน เช่น ลิ่มเลือดอุดตัน

• ใช้วอล์คเกอร์หรือไม้เท้า ช่วยพยุงตัวในช่วงแรก เพื่อป้องกันการล้มซ้ำ

• ออกกำลังกายเพิ่มความแข็งแรง ของกล้ามเนื้อสะโพกและขา เช่น การขยับข้อสะโพกเบา ๆ หรือเดินระยะสั้น

🥛 3. ดูแลกระดูกให้แข็งแรงหลังการรักษา

• รับประทาน แคลเซียมและวิตามินดี เช่น นม เต้าหู้ ปลาเล็กปลาน้อย เพื่อเสริมสร้างมวลกระดูก

• ป้องกันการหกล้มโดย ติดราวจับในห้องน้ำ ใช้รองเท้ากันลื่น และจัดบ้านให้ปลอดภัย

สรุป: กระดูกสะโพกหัก รักษาไว ฟื้นตัวเร็ว เดินได้แน่นอน!

แม้กระดูกสะโพกหักจะเป็นปัญหาใหญ่สำหรับผู้สูงอายุ แต่หากได้รับการรักษาอย่างถูกต้อง ผ่าตัดโดยแพทย์ผู้เชี่ยวชาญ และทำกายภาพบำบัดอย่างต่อเนื่อง โอกาสกลับมาเดินได้เหมือนเดิมก็มีสูงมาก

👩‍⚕️💬 “ถ้าพ่อแม่หกล้มแล้วปวดสะโพก ลุกไม่ได้ อย่าคิดว่าแค่ฟกช้ำ รีบพาไปพบแพทย์ทันที!”

📌 แชร์บทความนี้ เพื่อให้คนที่คุณรักได้รับข้อมูลที่เป็นประโยชน์! 🚶‍♂️💙

ผศ.นพ.ธนินนิตย์ ลีรพันธ์

ปัญหากระดูกและข้อได้ที่ line ID @doctorkeng ไม่เสียค่าใช้จ่าย

https://page.line.me/vjn2149j?openQrModal=tru

Comments

Popular posts from this blog

ดื่มแอลกอฮอล์มากทำให้หัวกระดูกสะโพกตายจริงหรือ?

Avascular Necrosis (AVN) of the Hip — กระดูกสะโพกขาดเลือด ภัยเงียบที่รักษาได้ถ้าพบเร็ว

กระดูกหัวสะโพกตาย (Avascular Necrosis — AVN) แนวทางการวินิจฉัยและการรักษา