# ผ่าตัดเปลี่ยนข้อสะโพกเทียม (Total Hip Replacement: THR) ในผู้ป่วย AVN ระยะที่ 4 — ทางรอดของข้อสะโพกที่ยุบตัวแล้ว

ผ่าตัดเปลี่ยนข้อสะโพกเทียม (Total Hip Replacement: THR) ในผู้ป่วย AVN ระยะที่ 4 — ทางรอดของข้อสะโพกที่ยุบตัวแล้ว
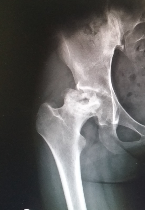
ภาวะกระดูกหัวสะโพกขาดเลือด (Avascular Necrosis: AVN) เป็นโรคที่เลือดมาเลี้ยงหัวกระดูกสะโพกไม่เพียงพอ ทำให้เซลล์กระดูกค่อย ๆ ตายลง หากไม่ได้รับการรักษาแต่เนิ่น ๆ กระดูกหัวสะโพกจะ “ยุบตัว” จนสูญเสียความเรียบของผิวข้อ และท้ายที่สุดทำให้ข้อสะโพกเสื่อมเจ็บปวดมาก เดินลำบาก และรบกวนการใช้ชีวิตประจำวันอย่างมาก
เมื่อโรคพัฒนาเข้าสู่ AVN ระยะที่ 4 (Stage IV) ถือเป็น “ระยะท้าย” ของโรคที่หัวกระดูกยุบอย่างชัดเจนและข้อสะโพกเสื่อมรุนแรง ในระยะนี้วิธีรักษาที่ได้ผลที่สุดและยั่งยืนคือ การผ่าตัดเปลี่ยนข้อสะโพกเทียม (Total Hip Replacement: THR)
บทความนี้จะอธิบายอย่างเข้าใจง่ายว่า ทำไมถึงต้องผ่าตัด วิธีผ่าเป็นอย่างไร ผลลัพธ์ดีไหม และผู้ป่วยควรเตรียมตัว–ดูแลหลังผ่าอย่างไร
ทำไม AVN ระยะที่ 4 ต้องผ่าตัด THR
เมื่อกระดูกหัวสะโพกยุบแล้ว:
ผิวข้อสะโพกไม่เรียบ → การเคลื่อนไหวเกิดแรงเสียดสีมาก
กระดูกใต้ผิวข้อรับน้ำหนักไม่ได้ → ปวดมากเวลาเดิน ยืน หรือแม้กระทั่งตอนพัก
การรักษาแบบไม่ผ่าตัดและผ่าตัดแผลเล็ก เช่น Core Decompression ไม่ได้ผลแล้ว เพราะกระดูกเสียรูปไปแล้ว
ดังนั้น การเปลี่ยนข้อสะโพกเทียมคือการเอาผิวข้อที่เสียออกทั้งหมด แล้วใส่ผิวข้อใหม่ที่เรียบ แข็งแรง และเคลื่อนไหวได้ลื่น เพื่อให้ผู้ป่วยกลับมาเดินได้ตามปกติ
อาการของผู้ป่วย AVN Stage 4
ปวดลึกบริเวณสะโพกและขาหนีบตลอดเวลา
ปวดแม้ตอนพักหรือนอน
เดินกระเผลก เดินไกลไม่ได้
เคลื่อนไหวสะโพกได้จำกัด โดยเฉพาะการหมุนเข้าใน
คุณภาพชีวิตลดลงมาก ทำงานบ้านหรือเดินขึ้นรถลำบาก
ถ้ามีอาการดังกล่าวและภาพ MRI หรือ X-ray แสดงการยุบของหัวกระดูก แพทย์มักแนะนำให้ผ่าตัด
THR คือการผ่าตัดแบบไหน
Total Hip Replacement คือการผ่าตัดเอาผิวข้อทั้งสองฝั่งที่เสีย คือหัวกระดูกต้นขาและเบ้าสะโพก ออก แล้วใส่ผิวข้อเทียม (prosthesis) เข้าไปแทน
อุปกรณ์ประกอบด้วย:
ก้านข้อสะโพก (stem) ใส่ในกระดูกต้นขา
หัวข้อสะโพกเทียม (ball)
เบ้าสะโพกเทียม (cup) ที่บุด้วยพลาสติกหรือเซรามิก
วัสดุมีความแข็งแรง ใช้งานได้นาน 15–25 ปี หรือมากกว่านั้นในหลายราย
ขั้นตอนผ่าตัดโดยสรุป
วางแผนด้วยภาพ X-ray/MRI เพื่อเลือกขนาดอุปกรณ์อย่างเหมาะสม
ผ่าเปิดสะโพกด้วยแผลขนาดเหมาะสม (ปัจจุบันมีเทคนิคแผลเล็กหรือ anterior approach)
ตัดหัวกระดูกต้นขาที่ยุบออก
เตรียมเบ้าสะโพก ขัดผิวและใส่ cup เข้าไป
ใส่ก้านข้อเข้ากระดูกต้นขา และใส่หัวข้อเทียม
ทดสอบการเคลื่อนไหวและความมั่นคงของข้อ
เย็บปิดแผล
ใช้เวลาผ่าตัดประมาณ 1–2 ชั่วโมง
ผลลัพธ์ของการผ่าตัด THR ใน AVN ระยะ 4
ผลการผ่าตัดมักดีมาก โดยเฉพาะถ้ากระดูกต้นขายังแข็งแรงพอรองรับก้านข้อเทียม
คาดหวังได้ว่า:
อาการปวดลดลงทันทีหลังผ่าตัด 70–90%
สามารถเดินลงน้ำหนักได้ในวันรุ่งขึ้นด้วย walker
ใน 4–6 สัปดาห์ เดินได้คล่องขึ้น
3 เดือน ทำกิจกรรมส่วนใหญ่ได้ตามปกติ
คุณภาพชีวิตดีขึ้นชัดเจน
ในผู้ป่วยอายุน้อยหรือมีข้อดีอื่น ๆ สามารถใช้งานข้อสะโพกเทียมได้ยาวนาน 15–25 ปี
ข้อดีของการผ่าตัด THR ในผู้ป่วย AVN
ลดปวดได้อย่างมีประสิทธิภาพ
เดินได้ดีขึ้นหลังผ่าไม่นาน
เพิ่มช่วงการเคลื่อนไหวของข้อ
ป้องกันปัญหากระดูกสะโพกยุบลาม
คุณภาพชีวิตดีขึ้นมาก สามารถทำงาน ทำกิจวัตรได้ตามปกติ
ข้อควรระวังและภาวะแทรกซ้อนที่อาจเกิดขึ้น
แม้จะเป็นผ่าตัดที่ประสบความสำเร็จสูง แต่ต้องระวัง:
ข้อเทียมหลุด (rare)
ขาไม่เท่ากัน (มักแก้ไขระหว่างผ่าได้)
การติดเชื้อ (ต้องดูแลแผลอย่างดี)
ลิ่มเลือดอุดตัน (บางรายต้องกินยากันเลือด)
อุปกรณ์หลวมในระยะยาว (พบในผู้ใช้งานหนักมาก)
การติดตามแพทย์สม่ำเสมอช่วยลดความเสี่ยงได้
การฟื้นตัวหลังผ่าตัด
วันแรกหลังผ่า: เริ่มเดินลงน้ำหนักบางส่วน
สัปดาห์ที่ 1–2: เดินด้วย walker หรือไม้เท้า
สัปดาห์ที่ 4–6: เดินได้คล่องขึ้น
สัปดาห์ที่ 6–12: กลับไปทำงานสำนักงานได้
3 เดือนขึ้นไป: ทำกิจกรรมส่วนใหญ่ได้ตามปกติ
6 เดือน: ออกกำลังกายระดับปานกลาง เช่น เดินเร็ว ว่ายน้ำ ปั่นจักรยาน
บทสรุป
การผ่าตัด THR เป็นวิธีรักษาที่ได้ผลที่สุดสำหรับ AVN ระยะที่ 4 ที่มีการยุบของหัวกระดูกสะโพกแล้ว ช่วยลดปวด เพิ่มคุณภาพชีวิต และทำให้ผู้ป่วยกลับมาเดินได้ดีอีกครั้ง
หากเอกซเรย์หรือ MRI บอกว่ากระดูกยุบแล้ว และอาการปวดรบกวนชีวิตมาก การผ่าตัด THR คือทางเลือกมาตรฐานที่ปลอดภัย มีประสิทธิภาพ และผลดีในระยะยาวครับ
บทความนี้ให้ข้อมูลทั่วไป หากอาการไม่ดีขึ้นควรปรึกษาแพทย์
สามารถปรึกษาปัญหากระดูกและข้อ หรืออาการปวด ได้ที่
ผศ.นพ.ธนินนิตย์ ลีรพันธ์ (หมอเก่ง)
ผู้เชี่ยวชาญโรคกระดูกและข้อ
สอบถามปัญหาโรคกระดูกและข้อ ปวดหลัง ปวดคอ ปวดเข่า ปวดไหล่ กระดูกพรุน ได้ครับ
📱 Line ID: @doctorkeng โทร 081-5303666
#AVN #THR #ผ่าตัดสะโพก #หัวกระดูกสะโพกยุบ #ปวดสะโพก #หมอเก่ง #สุขภาพกระดูก
Comments
Post a Comment